MEDICAL
診療案内
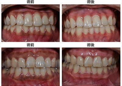
審美治療・ホワイトニング
お口のお悩みを取り除き、明るい笑顔と美しい口元を。当院は金属アレルギーにも配慮しております。
「昔治療した銀歯を見られたくない」
「前歯が変色しているから、笑うのが恥ずかしい」
そんなお悩みはありませんか。気になる部分を天然の歯に近い色の材料でカバーしてあげるだけで、自然で美しい「口元」はよみがえります。 お気軽にお問い合わせください。
生まれ持った自然な口元を再現
噛み合わせやほかの歯の色合いなど、一人ひとりのお口の状態を細かく診査した上、治療方法の選択肢、所要期間や費用などをていねいにご説明します。 装着に必要な治療や調整などもしっかり行い、長く健康で美しいお口になるようお手伝いいたします。
当院の主な審美治療メニュー(詰め物または被せ物)
金属アレルギーの方におすすめの材料
●ジルコニア
ジルコニアという強度があるセラミックでできているので頑丈です。 色味も自然な白色で、アレルギーや歯ぐきの変色、金属露出などの心配もありません。

●オールセラミック
ほかの材料と比べて見た目が歯の色に特に近いのが特徴です。 全体がセラミックでできているので、アレルギーや歯ぐきの変色、金属露出などの心配がありません。

その他の材料
●ハイブリッドセラミック
セラミックとレジンを混ぜて作られています。色の白さはオールセラミックより劣りますが、 柔らかく、周囲の歯にやさしいのが特徴です。

●メタルボンド
金属製の被せ物や詰め物の周りをセラミックで覆っているので、 金属の強さとセラミックの白さ、両方を持ち合わせます。

●ゴールド
18金を使用するため強度があり、さびたり溶け出したりする問題が起きません。 セラミックのような白さはありませんが、噛み合わせがいいのも特徴です。

●ラミネートべニア
付け爪のようなイメージで歯の表面にセラミックのシェルを貼り付けて、白さを出したり、歯の隙間を隠したりします。

●CAD/CAM
レジンにセラミックの粉末を混ぜてつくったブロックを削り出してつくる被せ物で、白い見た目が特徴です。銀歯よりも審美性が高く、金属アレルギーが起こる心配もありません。

土台(コア)
●ファイバーコア
歯の象牙質に近いしなりがあり、適度な柔らかさがあります。 金属アレルギーの原因とならず歯ぐきへの影響ない、体にやさしい素材です。 歯質に近い透過性があり、歯の色と似ているため、被せ物の色がきれいに出るという特徴があります。

●金属コア
〈ゴールド〉(自由診療)
金属アレルギーが起きにくい、体にやさしい素材です。 光が通過したときに、柔らかで自然な印象となります。 金属の中では自然できれいに見える材料です。
〈その他の金属〉(保険)
歯の性質より硬すぎるというデメリットがあり、金属色が被せ物の色に影を作る場合があります。

保証期間
当院は、自由診療を受けられる患者さまに2年の保証期間を設けております。ただし、定期的にメインテナンスで来院いただくことが条件となります。
保証期間において詳しくはお問い合わせください。
それぞれの材料に合った歯科技工所を利用
●それぞれの材料や種類ごとに技工所を使い分けます
当院は六つの技工所と連携を取っております。
たとえば「セラミックが得意な歯科技工所」など、よい仕上がりが期待できる歯科技工所を、患者さまのご注文ごとに使い分けています。
歯肉メラニン除去(ガムピーリング)
色素沈着などで変色してしまった歯茎に専用の薬を塗ることで歯茎を綺麗なピンク色にする治療です。
健康的な歯茎の色はピンク色ですが、喫煙の影響や、歯磨きや紫外線などの日常的な刺激により、黒や紫、茶色に変色してしまいます。ホワイトニングの普及により、最近では白い歯は比較的得やすい時代になりましたが、黒ずんだ歯茎は不健康な印象を持たれてしまうことがあり、あなたの笑顔をより魅力的にするにはホワイトニングに加え、歯茎のケアも大切です。当院では、着色してしまった歯茎をピンク色に漂白する審美治療「ガムピーリング」を行っております。

ホワイトニング
体質的な歯の黄ばみやくすみなどのお悩みを、当院のホワイトニングできれいになくしていきましょう。 所要時間が比較的短く、費用もお手頃なメニューをご用意しています。

ホワイトニングとは
あらかじめクリーニングした歯に、専用の薬剤を使って歯の黄ばみやくすみを取り除いて白くする施術です。
当院のホワイトニングメニュー
ホームホワイトニング
専用キットを使い、患者さまご自身で進めていただく方法です。 ご自宅にてマイペースで進められる利点があります。

オパールエッセンスgo
従来のホワイトニングのように型取りが必要ありません。 既成のホワイトニングセットをご購入いただき、ご自宅で ご自身が行うタイプのホワイトニングでございます。

デュアルホワイトニング
院内で歯科医師や歯科衛生士が行うホワイトニングと、 患者様ご自身で進めて頂くホームホワイトニングを併用する方法です。 より早くより白くを求める方にはお勧めしております。

ウォーキングブリーチ
ウォーキングブリーチとは、外傷や虫歯によって歯の神経を失った歯(失活歯)に対して行うホワイトニングのことをいいます。
虫歯治療で神経を抜くと歯に空洞ができます。その空洞に特殊なホワイトニング剤を入れ内側からホワイトニング剤の効果を浸透させる施術です。
こんな方におすすめ!!
・神経がない歯の変色がきになる
・神経がない歯をなるべく削らずに白くしたい
・できる限り安価で白くしたい
ウォーキングブリーチ メリット・デメリット
【メリット】
・歯を削る量が少なくて済む
・痛みがない
・被せ物にするよりも安価
【デメリット】
・後戻りをすることがある
・どこまで白くなるかやってみないとわからない
・漂白剤の化学反応で内圧が高まり痛みが出ることが稀にある
・保険が効かない





